Traumatólogo y Ortopedista Oncólogo
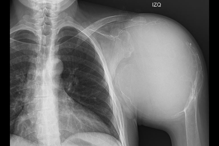
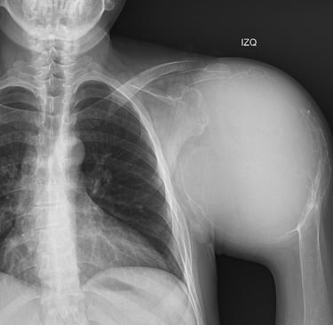
Atención especializada en traumatología y ortopedia para lesiones del sistema musculoesquelético, con alta especialidad en ortopedia oncológica para el manejo de tumores musculoesqueléticos


Descubre un poco mas acerca de la trayectoria del dr Julio Aguilar, formación y experiencia.


Conoce acerca de los padecimientos que tratamos, tanto ortopedicos, traumatológicos y ortopedicos oncológicos.


Ofrecemos los tratamientos especializados y personalizados, con enfoque integral multidisciplinario.


Contacto
Agenda tu cita fácil y rápido con el dr Julio Aguilar
COFEPRIS 2602022002A00055
© 2026. All rights reserved.
